Cosmetic Fillings & Dental Restoration
Restore damaged teeth invisibly with natural-looking, tooth-coloured composite fillings.
Cosmetic Fillings & Dental Restoration
Tooth-coloured composite fillings offer a superior alternative to traditional silver amalgam, repairing cavities, chips, and minor fractures with a material that matches your natural tooth colour precisely. Using advanced composite resin, our restorations are virtually invisible — giving you a healthy, natural smile without any dark, unsightly metal.
Composite fillings bond directly to the tooth structure, which means less healthy tooth material needs to be removed compared to amalgam. This makes them a conservative, minimally invasive option that preserves more of your natural tooth. The procedure is typically completed in a single appointment under local anaesthesia.
Beyond cavities, composite bonding can be used to repair chipped or worn teeth, close small gaps, and reshape teeth that are slightly misaligned — often without any drilling or anaesthesia. This makes it one of the most versatile and affordable cosmetic dental treatments available.
What to Expect
A simple, comfortable process designed around you.
Consultation
The affected tooth is examined and the extent of decay or damage is assessed. Digital X-rays may be taken to check for any decay below the surface before treatment begins.
Preparation
Local anaesthesia is administered and the decayed or damaged portion of the tooth is gently removed. The tooth surface is then cleaned and prepared for bonding.
Procedure
The composite resin is carefully applied in layers, each cured with a special light, then sculpted and polished to perfectly match the shape and colour of your natural tooth.
Recovery & Results
No recovery period is needed — you can eat and drink normally within a few hours. With good oral hygiene, composite fillings typically last 7–10 years before replacement.
Why Choose This Treatment
Completely Natural Appearance
Composite resin is shade-matched to your tooth, making the filling entirely invisible.
Preserves Tooth Structure
Less drilling is required compared to amalgam fillings, protecting more of your healthy tooth.
Completed in One Visit
Most fillings and bonding procedures are finished in a single, comfortable appointment.
Metal-Free & Safe
Composite fillings contain no mercury or metal, making them the modern, biocompatible choice.
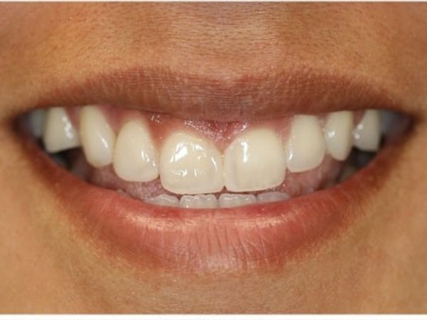
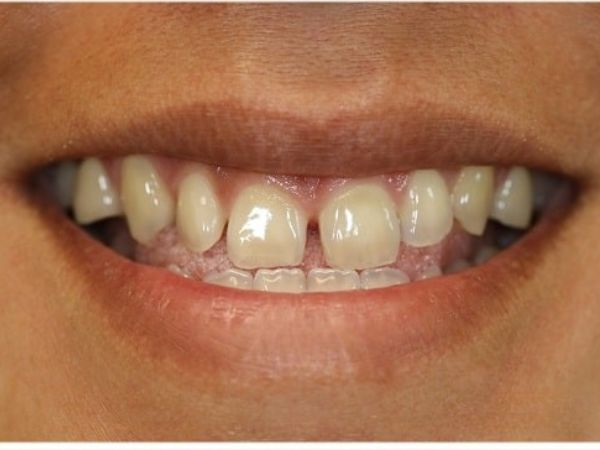
Before & After
Real results from real patients — images provided by the clinic.
Before
After
Common Questions About Cosmetic Fillings & Dental Restoration
Composite fillings typically last 7–10 years with proper care. Their lifespan depends on the size and location of the filling, your bite, and your oral hygiene habits. Small fillings on front teeth often last considerably longer.
Yes, composite fillings are suitable for both front and back teeth. For very large cavities in high-pressure molar areas, we may recommend an inlay, onlay, or ceramic restoration for added strength and durability.
Yes, we can replace existing amalgam fillings with tooth-coloured composite or ceramic alternatives. We take all necessary precautions when removing old amalgam fillings to protect you and our team throughout the process.
Absolutely. We select the composite shade carefully using a shade guide to match your surrounding teeth as closely as possible. Once polished, the result is virtually indistinguishable from natural tooth enamel.
Ready to Book Your Appointment?
Our specialists are ready to assist you. Get in touch today.