Gum Disease Treatment & Periodontics
Healthy gums are the foundation of a confident, lasting smile — we protect and restore them.
Gum Disease Treatment & Periodontics
Gum disease is one of the most common dental conditions, affecting millions of people — yet it often develops silently without pain. Our periodontal specialists diagnose and treat all stages of gum disease, from early gingivitis to advanced periodontitis, using both non-surgical and surgical techniques tailored to the severity of each case.
Left untreated, gum disease progresses to cause irreversible bone loss, tooth mobility, and ultimately tooth loss. Early diagnosis and prompt treatment are essential to halt this progression and restore gum health. Our team uses the latest ultrasonic scaling instruments and targeted antibacterial treatments to achieve thorough, effective results.
In addition to disease treatment, we offer gum contouring (gingivectomy) and cosmetic gum enhancement procedures for patients who wish to improve the appearance of a "gummy smile" or uneven gum line, creating a more balanced and aesthetically pleasing frame for the teeth.
What to Expect
A simple, comfortable process designed around you.
Consultation
Our periodontist performs a full periodontal assessment, measuring pocket depths around each tooth, assessing bone levels with digital X-rays, and identifying all areas of active gum disease.
Preparation
Professional scaling and root planing (deep cleaning) is performed to remove tartar and bacteria from below the gumline, allowing the gum tissue to begin healing and reattaching to the tooth.
Procedure
For advanced cases, minimally invasive surgical procedures may be recommended to access and clean deeper pockets, regenerate bone, or reposition gum tissue for optimal health and aesthetics.
Recovery & Results
Regular periodontal maintenance visits are scheduled every 3–4 months to monitor gum health, remove new deposits, and maintain the results of treatment long-term.
Why Choose This Treatment
Stops Disease Progression
Early treatment halts the destruction of bone and tissue, preventing tooth loss.
Reduces Bleeding & Inflammation
Deep cleaning removes the bacterial deposits that cause gum inflammation and bleeding.
Improves Smile Aesthetics
Gum contouring can correct uneven gum lines, creating a more balanced and attractive smile.
Protects Overall Health
Treating gum disease reduces systemic inflammation linked to heart disease, diabetes, and other conditions.
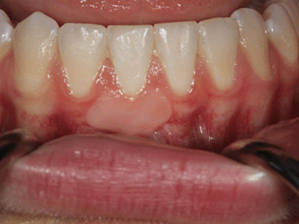
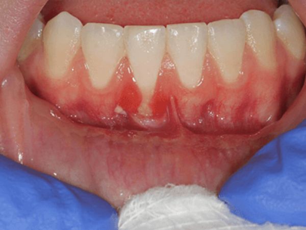
Before & After
Real results from real patients — images provided by the clinic.
Before
After
Common Questions About Gum Disease Treatment & Periodontics
Common signs include bleeding gums when brushing or flossing, red or swollen gums, persistent bad breath, gum recession, and loose teeth. However, gum disease can also progress without obvious symptoms, which is why regular dental check-ups are essential.
Non-surgical scaling is performed under local anaesthesia and is generally well-tolerated. Mild soreness afterwards is normal and resolves quickly. Surgical procedures, where necessary, are also performed under anaesthesia, and post-operative discomfort is managed with appropriate medication.
Early-stage gingivitis is fully reversible with professional cleaning and improved home care. Advanced periodontitis, while not curable, can be effectively managed to stop further bone loss and maintain teeth long-term. Consistent maintenance is key.
Excellent home care — brushing twice daily and flossing every day — combined with regular professional cleaning visits every 3–4 months is the most effective way to prevent gum disease from recurring. Our hygienist will guide you on the optimal technique.
Ready to Book Your Appointment?
Our specialists are ready to assist you. Get in touch today.